Tooth pain can strike at any time, disrupting your daily routine and signaling underlying dental issues that require attention. While some discomfort may be manageable at home, persistent or severe tooth pain often points to something more serious. Knowing when to seek help from a dentist in Vaughan can make all the difference in preventing complications and maintaining a healthy smile.
Common Causes of Tooth Pain
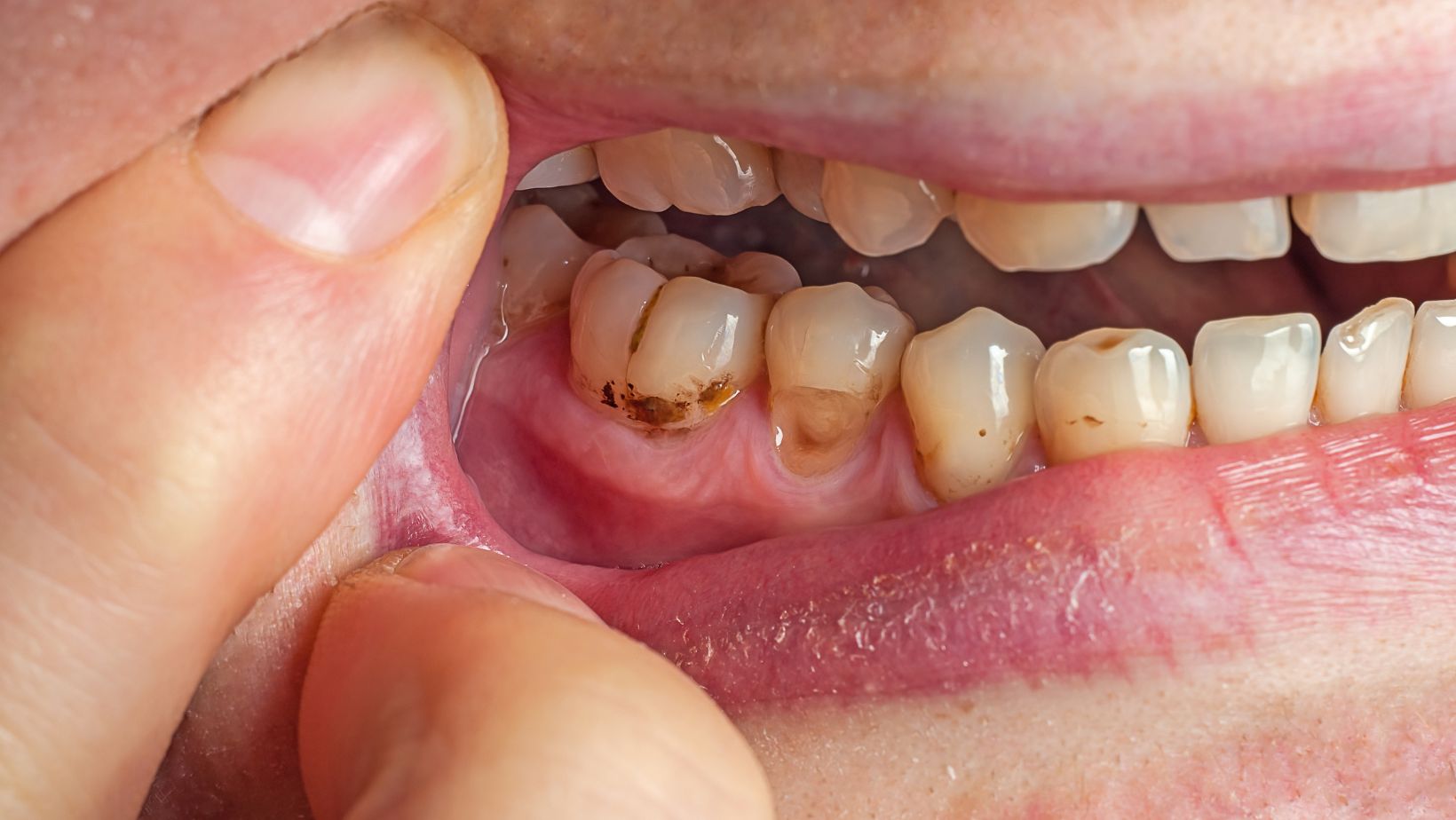
Tooth pain can stem from a variety of causes. The most frequent culprits include cavities, gum disease, cracked teeth, or infections. Even sinus pressure or impacted wisdom teeth can trigger discomfort that radiates to the mouth. If you’re unsure what’s causing the pain, it’s time to consult a dentist in Vaughan for a thorough examination and diagnosis.
Ignoring these warning signs can worsen the condition and lead to more complex dental procedures. Early intervention by a professional can help protect your teeth and preserve your overall oral health.
At-Home Remedies for Temporary Relief
If your toothache is mild and you’re unable to visit a dentist in Vaughan right away, there are a few home remedies that might offer short-term relief. Rinsing with warm salt water can help reduce inflammation, and applying a cold compress may minimize swelling and numb the pain. Over-the-counter pain medications can also be effective for managing discomfort.
However, these methods are not substitutes for professional care. If the pain persists or returns frequently, it’s essential to schedule an appointment with a trusted dentist in Vaughan.
Warning Signs You Shouldn’t Ignore
Some symptoms indicate that it’s time to stop the home remedies and call a dentist in Vaughan immediately. These include:
- Pain that lasts more than 48 hours
- Swelling in the gums or face
- Pain when chewing or biting
- A foul taste in your mouth or bad breath
- Sensitivity to hot or cold that lingers
These signs could point to an infection, abscess, or other dental emergency that requires immediate care.
When to See a Dentist Right Away
You should seek urgent dental care if you experience:
- A knocked-out or broken tooth
- Pus or fluid around the gum line
- Severe swelling that impedes swallowing or breathing
- Fever accompanied by oral pain
Delaying treatment in these scenarios can lead to serious health issues, including the spread of infection. A qualified dentist in Vaughan can assess the severity and recommend the right course of action to alleviate your symptoms quickly and safely.
What to Expect at Your Dental Visit
When you visit a dentist in Vaughan for tooth pain, the first step is usually a comprehensive exam and dental X-rays. These tools help pinpoint the source of the problem, whether it’s a cavity, infection, or damaged tooth. Based on the findings, your dentist may suggest a filling, root canal, extraction, or other procedure.
Your provider will also offer pain management strategies and walk you through recovery instructions to ensure long-lasting relief.
Preventing Future Tooth Pain
Preventive care is key to avoiding future dental problems. Brushing twice a day with fluoride toothpaste, flossing daily, and limiting sugary snacks are foundational habits. Visiting a dentist in Vaughan for regular cleanings and checkups allows your dental team to catch issues early—before they become painful.
If you grind your teeth at night, consider asking about custom nightguards. They can reduce pressure on your teeth and prevent fractures or jaw pain.
Finding the Right Dentist for You
When searching for a dentist in Vaughan, look for someone with a strong reputation, experience in emergency care, and a patient-first approach. Online reviews, referrals from friends or family, and a welcoming office environment can help guide your choice.

Take Control of Your Oral Health Today
Tooth pain isn’t just an inconvenience—it’s a signal that something is wrong. Taking early action by contacting a qualified dentist in Vaughan can help prevent more serious problems and restore your comfort. Whether it’s a minor ache or a dental emergency, don’t wait to get the help you need.
Your smile is worth protecting. Book a consultation with a trusted dentist in Vaughan today and take the first step toward lasting oral health and peace of mind.
